-->

HBOT Treatment For White Matter Lesions


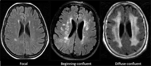
White matter disease is the wearing away of tissue in the largest and deepest part of your brain that has a number of causes, including aging. This tissue contains millions of nerve fibers, or axons that connect other parts of the brain and spinal cord and signal your nerves to talk to one another. A fatty material called myelin protects the fibers and gives white matter its colour. This type of brain tissue helps you think fast, walk straight, and keeps you from falling. When it becomes diseased, the myelin breaks down. The signals that help you do these things can’t get through. Your body stops working like it should, much like a kink in a garden hose makes the water that comes out go awry. White matter disease happens in older or elderly people. There are ways to prevent or even reverse this condition, but you need to start now.

Benefits of HBOT :

There isn’t a specific treatment. The goal is to treat the cause of the damage and stop the disease from getting worse. Your doctor may prescribe medicines to lower your blood pressure or cholesterol There is evidence that White Matter Hyperintensities indicate Ischemia. Ischemia is the lack of blood flow to the small vessels in the brain. Ischemia can lead to poor oxygen supply and the death of tissue in the brain. Hyperbaric Oxygen Therapy is able to improve cognitive function of individuals with White Matter Hyperintensities by increasing the flow of oxygen to the brain and improving circulation.